Table of Contents
Washington University Experience | NEOPLASMS (NON-GLIAL NON-NEURONAL) | Germ Cell Neoplasm - Germinoma | 12A1 Germinoma (Case 12) 1
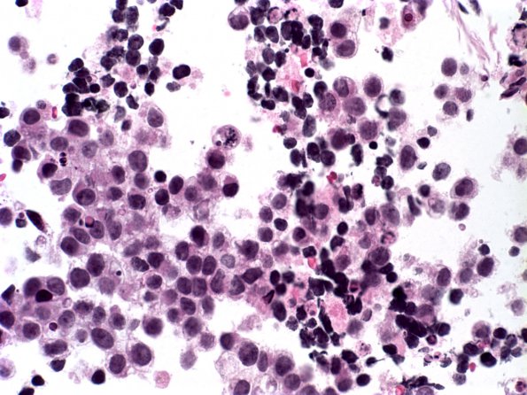
Case 12 History ---- The patient was a 48 year old man with a rapidly growing, enhancing pineal mass and hydrocephalus. Operative procedure: Stereotactic biopsy. ---- 12A1,2 Sections of the pineal gland biopsy showed multiple fragments of a cellular neoplasm composed of uniform cells with large vesicular nuclei, prominent nucleoli and scant clear cytoplasm admixed with mature small lymphocytes. (A1, H&E; A2, negative immunohistochemistry control)
