Table of Contents
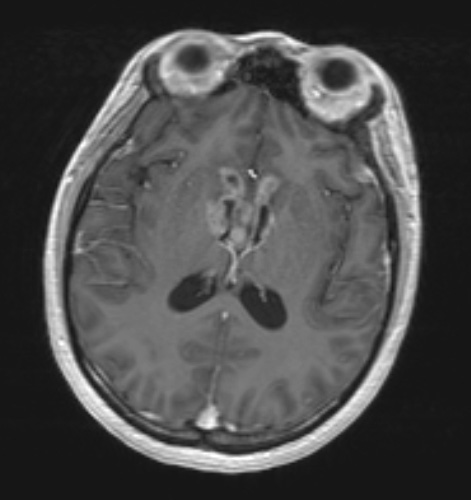
Washington University Experience | NEOPLASMS (NON-GLIAL NON-NEURONAL) | Germ Cell Neoplasm - Germinoma | 17A3 Germinoma, pineal (Case 17) T1W - Copy
17A3,4 Ventricular spread as shown in a T1-weighted image with contrast (17A3) and T2-weighted (17A4) scans.
