Table of Contents
Washington University Experience | NEOPLASMS (NON-GLIAL NON-NEURONAL) | Germ Cell Neoplasm - Germinoma | 18A1 (Case 18) T1 SAG - Copy
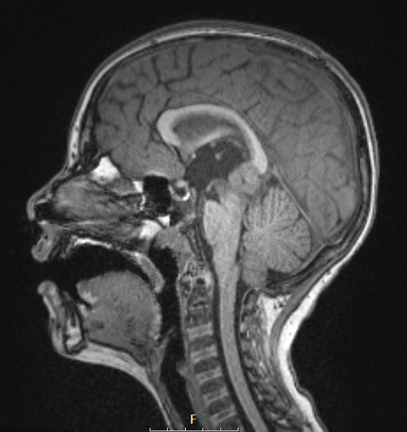
Case 18 History ---- The patient is a 9-year-old boy presenting with bilateral papilledema and symptomatic hydrocephalus. Imaging shows a lobulated, heterogeneously enhancing and diffusion-restricting 2.3 cm mass centered in the tectum of midbrain and pineal region with associated mass effect and obstructive hydrocephalus. Operative procedure: Endoscopic third ventriculostomy and biopsy of pineal tumor. ---- 18A1,2 A pineal mass is shown in T1 weighted scans without (18A1) and with (18A2) contrast.
