Table of Contents



Washington University Experience | NEOPLASMS (NON-GLIAL NON-NEURONAL) | Germ Cell Neoplasm - Germinoma | 18A3 (Case 18) T2W SAG - Copy

18A3 (Case 18) T2W SAG - Copy
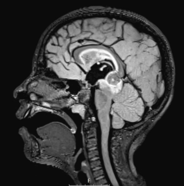
A T2-weighted scan shows a hyperintense rim around the pineal mass.


Gallery RSS RSS Feed | Archive View | Login | Powered by Zenphoto