Table of Contents
« prev
next »
Washington University Experience
|
NEOPLASMS (NON-GLIAL NON-NEURONAL)
|
Germ Cell Neoplasm - Germinoma
|
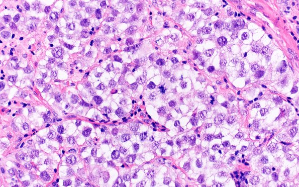
2B4 Germinoma, callosum (Case 2) H&E 6
There are numerous mitotic figures (H&E).
Image Info
Camera Maker:
Olympus
Camera Model:
DP74
Shutter Speed:
20/3643 sec
Metering Mode:
Average
Gallery RSS
|
Archive View
|
Login
|
Powered by
Zenphoto