Table of Contents
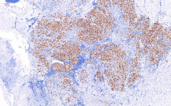
Washington University Experience | NEOPLASMS (NON-GLIAL NON-NEURONAL) | Germ Cell Neoplasm - Germinoma | 2D2 Germinoma, callosum (Case 2) OCT 3-4 1
The specimen in this whole mount is immunoreactive for the transcription factor Oct4 (Oct4 IHC)
