Table of Contents
Washington University Experience | NEOPLASMS (NON-GLIAL NON-NEURONAL) | Germ Cell Neoplasm - Germinoma | 3B1 Germinoma (Case 3) Smear 1
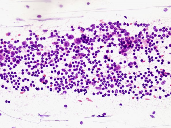
Intraoperative smear preparation shows numerous lymphocytes as well as a few large germinoma cells (H&E).
