Table of Contents
* Check/uncheck all *
City
Country
Description
Location/Place
State
Tags
Title
Washington University Experience
|
NEOPLASMS (NON-GLIAL NON-NEURONAL)
|
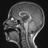
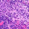
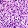
Germ Cell Neoplasm - Germinoma (9)
« prev
1
...
4
5
6
7
8
9
10
next »
Gallery RSS
|
Archive View
|
Login
|
Powered by
Zenphoto