Table of Contents
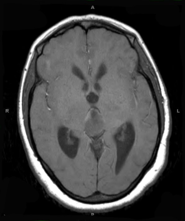
Washington University Experience | NEOPLASMS (PINEAL) | PPTID (Pineal Parenchymal Tumor Intermediate Differentiation) | 3A2 PPTID (Case 3) T1 2
3A2,3 The tumor is isointense in T1-weighted image (3A2) and enhances with contrast (3A3).
