Table of Contents
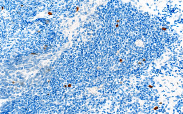
Washington University Experience | NEOPLASMS (PINEAL) | PPTID (Pineal Parenchymal Tumor Intermediate Differentiation) | 8E PPTID (Case 8) Ki67 40X 2
The Ki-67 proliferative index is low. ---- Comment: The light microscopic features seen here are in keeping with a PPTID, WHO grade II. PPTID generally correspond to WHO grade 2-3 tumors. In this particular case, the lack of proliferative activity, the lack of necrosis, and the seemingly well differentiated cytology favors a WHO grade 2 over a WHO grade 3 neoplasm, although the NF staining is minimal.
