Table of Contents
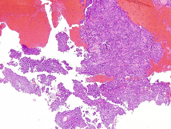
Washington University Experience | NEOPLASMS (PINEAL) | Papillary Tumor Pineal Region (PTPR) | 10A1 Papillary Tumor Pineal Region (Case 10) H&E 4.jpg
Case 10 History ---- The patient is a 73 year old woman with a tumor in the posterior part of third ventricle/pineal region. Systemic workup for another primary was negative. Operative procedure: Partial excision. ---- 10A1,2 Sections reveal a solid-appearing epithelioid neoplasm with prominent papillary growth pattern. There is moderate to marked nuclear pleomorphism with tumor cells displaying anaplastic features. The tumor cells are large and epithelioid with moderate quantities of eosinophilic cytoplasm and large hyperchromatic oval to irregular nuclei. The mitotic index is elevated and there are atypical mitoses. Small foci of tumor necrosis are also evident. Occasional intracytoplasmic clear vacuoles are seen.
