Table of Contents
Washington University Experience | NEOPLASMS (PINEAL) | Papillary Tumor Pineal Region (PTPR) | 2E Papillary Tumor of the Pineal Region (Case 2) Ki67 1.jpg
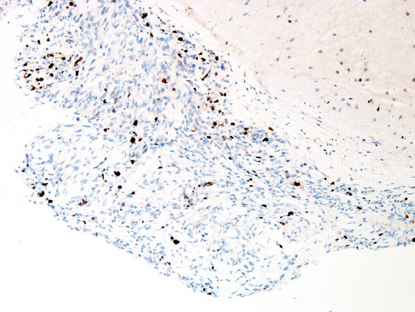
Reactivity for proliferation marker Ki67 (MIB-1 antibody) stains tumor cell nuclei at variable density, ranging up to 4.0% ---- Ancillary data (not shown): Reactivity for glial fibrillary acidic protein (GFAP) is strong in associated non-neoplastic tissues, but is not detected in cells that appear intrinsic to the neoplasm. Reactivity for epithelial membrane antigen (EMA) stains only very rare putative paranuclear 'dots'. No reactivity for synaptophysin or neurofilament is noted within the neoplastic cells; the latter reveals only an exceedingly rare entrapped axon.
