Table of Contents
« prev
next »
Washington University Experience
|
NEOPLASMS (PINEAL)
|
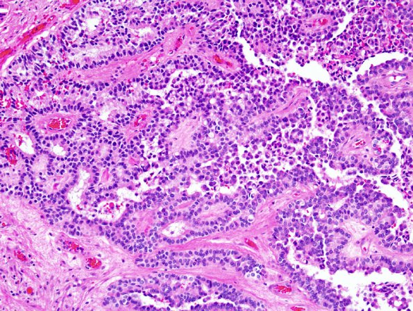
Papillary Tumor Pineal Region (PTPR)
|
3B3 Papillary Tumor Pineal Region (PTPR) (Case 3) 7.jpg
Higher magnification of the neoplasm (H&E)
Image Info
Camera Maker:
Olympus Optical Co.,ltd.
Camera Model:
DP70
Original Time Taken:
18-03-2005
Shutter Speed:
1/650 sec
ISO Sensitivity:
200
Metering Mode:
Spot
Gallery RSS
|
Archive View
|
Login
|
Powered by
Zenphoto