Table of Contents



Washington University Experience | NEOPLASMS (PINEAL) | Papillary Tumor Pineal Region (PTPR) | 6B4 Papillary Tumor Pineal Region (Case 6) H&E 7

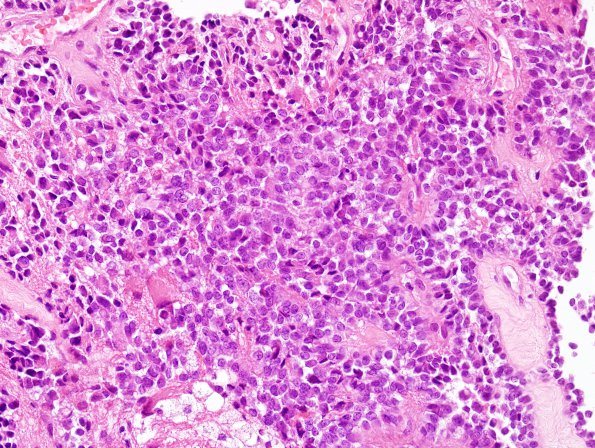
6B4 Papillary Tumor Pineal Region (Case 6) H&E 7
Higher magnification of the neoplasm (H&E)


Gallery RSS RSS Feed | Archive View | Login | Powered by Zenphoto