Table of Contents
« prev
next »
Washington University Experience
|
NEOPLASMS (PINEAL)
|
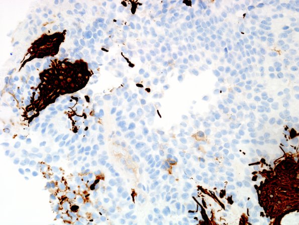
Papillary Tumor Pineal Region (PTPR)
|
9F Papillary Tumor Pineal Region (Case 9) GFAP 5 (2).jpg
A subpopulation of tumor cells is strongly reactive for NSE.
Image Info
Camera Maker:
Olympus Corporation
Camera Model:
DP70
Original Time Taken:
27-04-2013
Shutter Speed:
1/242 sec
ISO Sensitivity:
200
Metering Mode:
Spot
Gallery RSS
|
Archive View
|
Login
|
Powered by
Zenphoto