Table of Contents
Washington University Experience | NEOPLASMS (PINEAL) | Pineal Anlage Tumor | 2A Pineal Anlage Tumor (Case 2) T1W 2 B - Copy
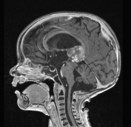
Case 2 History
The patient is a 1yo male who presented to an outside hospital with a pineal region enhancing mass status post biopsy (called embryonal neoplasm, favor pineal anlage tumor, and matching to pineoblastoma on methylation profiling) status post chemotherapy who presented for re-resection. Operative procedure: Craniotomy for resection of midline left sided mass, possible placement of an external ventricular drain
2A The pineal neoplasm shows variegated enhancement in this T1-weighted contrast administered scan.
