Table of Contents
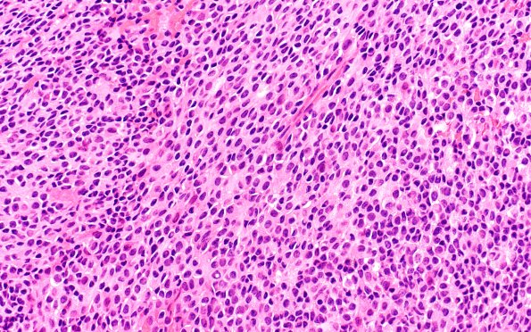
Washington University Experience | NEOPLASMS (PINEAL) | Pineal Anlage Tumor | 2B3 Pineal Anlage Tumor (Case 2) B2 H&E 40X
2B3,4 Some areas hint at a more undifferentiated pattern of growth that does not demonstrate proliferative activity expected in an embryonal growth pattern. (H&E)
