Table of Contents
« prev
next »
Washington University Experience
|
NEOPLASMS (PINEAL)
|
Pineal Anlage Tumor
|
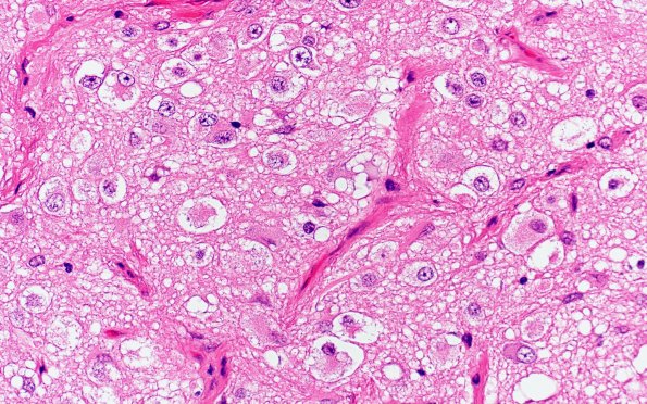
2B7 Pineal Anlage Tumor (Case 2) B6 H&E 40X
Clumps of neurocytes with separating septae are seen in some areas of the tumor. (H&E)
Image Info
Camera Maker:
Olympus
Camera Model:
DP74
Shutter Speed:
27/6250 sec
Metering Mode:
Multi-Spot
Gallery RSS
|
Archive View
|
Login
|
Powered by
Zenphoto