Table of Contents
« prev
next »
Washington University Experience
|
NEOPLASMS (PINEAL)
|
Pineal Anlage Tumor
|
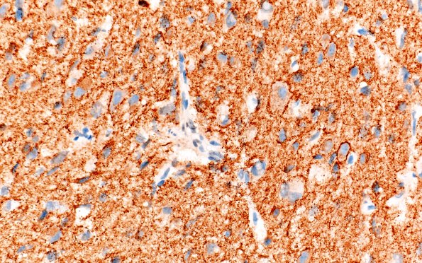
2C2 Pineal Anlage Tumor (Case 2) A2 SYN 40X
The neurocytic and larger neurons are positive for synaptophysin. (SYN IHC)
Image Info
Camera Maker:
Olympus
Camera Model:
DP74
Shutter Speed:
3/616 sec
Metering Mode:
Multi-Spot
Gallery RSS
|
Archive View
|
Login
|
Powered by
Zenphoto