Table of Contents
« prev
next »
Washington University Experience
|
NEOPLASMS (PINEAL)
|
Pineal Anlage Tumor
|
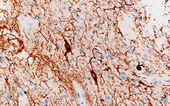
2D3 Pineal Anlage Tumor (Case 2) B5 NF 40X
NF is positive in the larger neurons and neuropil and negative in the neurocytes. (NF IHC)
Image Info
Camera Maker:
Olympus
Camera Model:
DP74
Shutter Speed:
29/6250 sec
Metering Mode:
Multi-Spot
Gallery RSS
|
Archive View
|
Login
|
Powered by
Zenphoto