Table of Contents
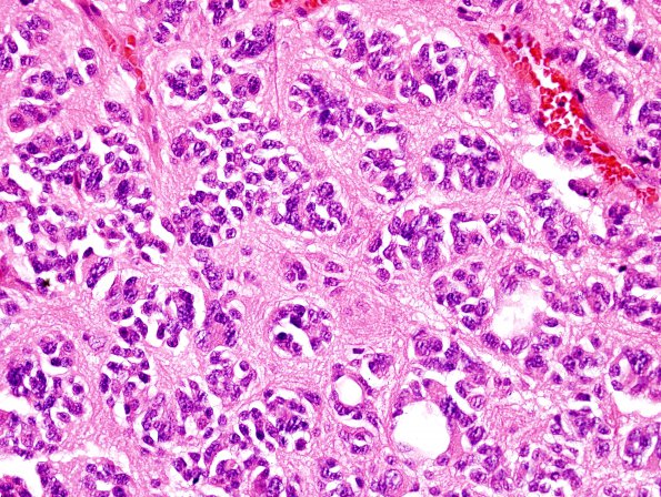
Washington University Experience | NEOPLASMS (PINEAL) | Pineocytoma | 4B2 Pineocytoma (Case 4) H&E 5.jpg
The tumor cells are present in a nested pattern and form numerous pineocytomatous rosettes. In addition there are scattered cells with large atypical nuclei and some occasional cells which appear multinucleated.
