Table of Contents
« prev
next »
Washington University Experience
|
NEOPLASMS (PINEAL)
|
Pineocytoma
|
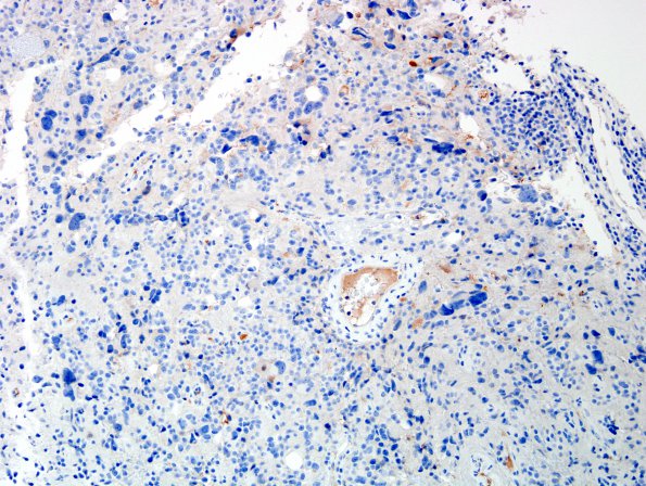
5D Pineocytoma (Case 5) NeuN 1.jpg
Somewhat surprisingly there is no reactivity for the neuronal marker NeuN, even in the large neuronal forms.
Image Info
Camera Maker:
Olympus Corporation
Camera Model:
DP70
Original Time Taken:
28-04-2013
Shutter Speed:
1/950 sec
ISO Sensitivity:
200
Metering Mode:
Spot
Gallery RSS
|
Archive View
|
Login
|
Powered by
Zenphoto