Table of Contents
« prev
next »
Washington University Experience
|
NEOPLASMS (PINEAL)
|
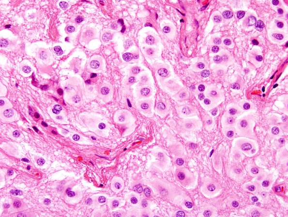
Pineocytoma
|
9A3 Pineocytoma w neuronal diffn (Case 9) H&E 3.jpg
Higher magnification tumor image (H&E)
Image Info
Camera Maker:
Olympus Corporation
Camera Model:
DP70
Original Time Taken:
28-04-2013
Shutter Speed:
1/93 sec
ISO Sensitivity:
200
Metering Mode:
Spot
Gallery RSS
|
Archive View
|
Login
|
Powered by
Zenphoto