Table of Contents
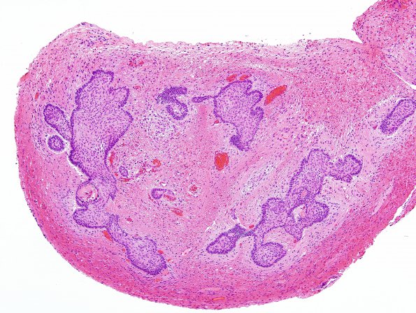
Washington University Experience | NEOPLASM (SELLAR) | Craniopharyngioma, adamantinomatous | 10A3 Craniopharyngioma (Case 10) H&E 14
Occasionally this pattern of growth mimics pilocytic astrocytoma if the squamous elements are not included in the specimen (H&E)
