Table of Contents
« prev
next »
Washington University Experience
|
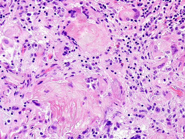
NEOPLASM (SELLAR)
|
Craniopharyngioma, adamantinomatous
|
14A3 Cranio SP resection, no live tumor (Case 14) H&E 1.jpg
Reaction to extracellular keratin (H&E).
Image Info
Camera Maker:
Olympus Corporation
Camera Model:
DP70
Original Time Taken:
31-01-2015
Shutter Speed:
1/265 sec
ISO Sensitivity:
200
Metering Mode:
Spot
Gallery RSS
|
Archive View
|
Login
|
Powered by
Zenphoto