Table of Contents
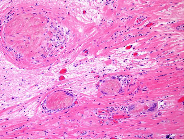
Washington University Experience | NEOPLASM (SELLAR) | Craniopharyngioma, adamantinomatous | 1E4 Cranio & radiation Rx 3 yr prior Case 1) N12 H&E 1.jpg
Very little residual neoplasm; rather, there are effects of radiation treatment (hyalinized vessels, rarified neuropil), perivascular and scattered foamy macrophages, robust piloid gliosis, and focal lymphocytic infiltrates. (H&E)
