Table of Contents
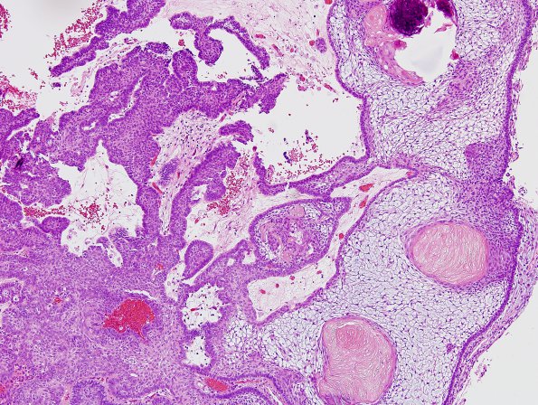
Washington University Experience | NEOPLASM (SELLAR) | Craniopharyngioma, adamantinomatous | 7B2 Craniopharyngioma (Case 7) H&E 4
7B2-5 Various magnifications of the columnar to squamous appearing epithelioid cells, basal palisading, minute loose stellate reticulum, and aggregates of wet keratin (H&E)
