Table of Contents
Washington University Experience | NEOPLASM (SELLAR) | Craniopharyngioma, adamantinomatous | 8A Cranio, hemorrhage, reaction (Case 8) T1 1 - Copy
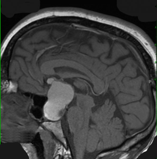
Case 8 History ---- The patient is a 31-year-old man presenting with aches, fatigue, diminished vision, decreased energy, and some blurring of his vision. Work up labs and testing showed he has hypotestosteronism and bitemporal hemianopsia. Head CT scan and brain MRI show a large partially cystic sellar/suprasellar mass with peripheral post-contrast enhancement. Operative procedure: Transsphenoidal excision. ---- Brain MRI shows a large T1-weighted hyperintense partially cystic sellar/suprasellar mass with peripheral post-contrast enhancement.
