Table of Contents
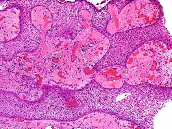
Washington University Experience | NEOPLASM (SELLAR) | Craniopharyngioma, papillary | 1B3 Craniopharyngioma, papillary (Case 1) H&E 10X 1
Sections of the resected suprasellar mass show maturing squamous epithelium surrounding fibrovascular cores with chronic inflammation and hyalinization. The epithelium lacks surface maturation.
