Table of Contents
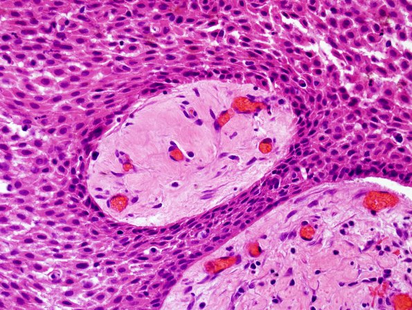
Washington University Experience | NEOPLASM (SELLAR) | Craniopharyngioma, papillary | 1B5 Craniopharyngioma, papillary (Case 1) H&E 3.jpg
Higher magnification of the papillae fails to show wet keratin, or intrinsic glial fingers or Rosenthal fibers within the tumor mass (H&E)
