Table of Contents
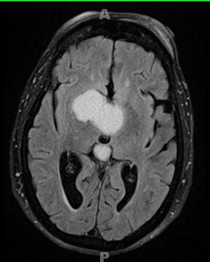
Washington University Experience | NEOPLASM (SELLAR) | Craniopharyngioma, papillary | 2A3 Craniopharyngioma, Papillary (Case 2) TIRM Dark FLUID - Copy
MR imaging performed shows a predominately hyperintense cystic mass in this TIRM Dark Fluid scan.
