Table of Contents
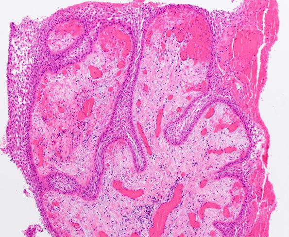
Washington University Experience | NEOPLASM (SELLAR) | Craniopharyngioma, papillary | 5B2 Craniopharyngioma, Papillary (Case 5) H&E 1
Routine hematoxylin and eosin stained sections show a neoplasm with a papillary fibrovascular core lined by well-differentiated nonkeratinizing squamous epithelium. (H&E)
