Table of Contents
Washington University Experience | NEOPLASM (SELLAR) | TTF-1-positive sellar tumor - Granular cell Tumor | 10A1 Granular cell tumor (Case 10) H&E WM copy
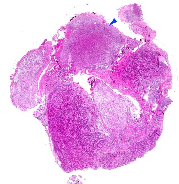
Case 10 History ---- The decedent was a 63 year-old man with a history of glioblastoma (GBM) treated with chemoradiation. The patient had extensive pulmonary, hepatic, and osseous metastases by imaging. The granular cell tumorlet of the pituitary was incidental. ---- 10A1 A whole mount of the pituitary shows a small tumorlet (arrowhead) adjacent to the adenohypophysis and neurohypophysis. (H&E)
