Table of Contents
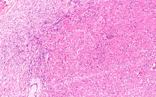
Washington University Experience | NEOPLASM (SELLAR) | TTF-1-positive sellar tumor - Granular cell Tumor | 10A2 Granular cell tumorlet (Case 10) H&E 10X
Higher magnification image of the granular cell tumor shown in image #10A1. (H&E)
