Table of Contents
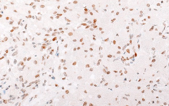
Washington University Experience | NEOPLASM (SELLAR) | TTF-1-positive sellar tumor - Granular cell Tumor | 10B2 Granular cell tumor (Case 10) TTF 60X 2
10B2,3 Higher magnification images of the granular cell tumor demonstrating the nuclear TTF1 labeling. (TTF1 IHC).
