Table of Contents
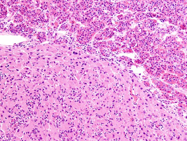
Washington University Experience | NEOPLASM (SELLAR) | TTF-1-positive sellar tumor - Granular cell Tumor | 1A3 Granular Cell Tumor (Case 1) H&E 4
1A2-4 The junction of the adenohypophysis and GCT at three different magnifications (H&E) The GCT does not resemble the normal adenohypophysis.
