Table of Contents
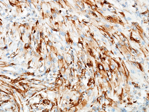
Washington University Experience | NEOPLASM (SELLAR) | TTF-1-positive sellar tumor - Granular cell Tumor | 1B4 Granular Cell Tumor (Case 1) VIM 2
1B2-4 The GCT tumor cells are variably labeled with vimentin, particularly the spindled elements (VIM IHC)
