Table of Contents
« prev
next »
Washington University Experience
|
NEOPLASM (SELLAR)
|
TTF-1-positive sellar tumor - Granular cell Tumor
|
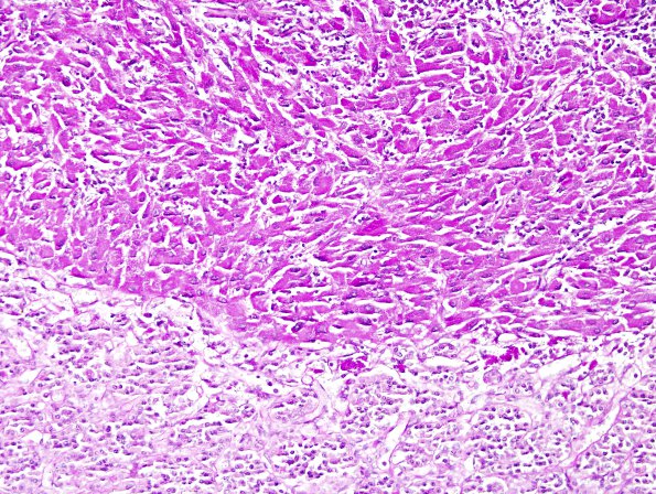
1E2 Granular Cell Tumor (Case 1) PAS 2A
1E2,3 Higher magnification of PAS+ reactive GCT tumor cells (PAS, no diastase)
Image Info
Camera Maker:
Olympus Corporation
Camera Model:
DP70
Original Time Taken:
03-03-2013
Shutter Speed:
1/290 sec
ISO Sensitivity:
200
Metering Mode:
Spot
Gallery RSS
|
Archive View
|
Login
|
Powered by
Zenphoto