Table of Contents
« prev
next »
Washington University Experience
|
NEOPLASM (SELLAR)
|
TTF-1-positive sellar tumor - Granular cell Tumor
|
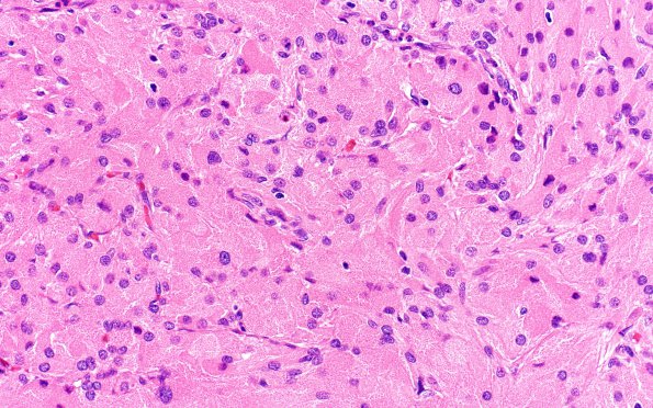
2A4 Granular Cell Tumor, Sella Region (Case 2) H&E 40X 1
The typical appearance of granular cells in this GCT (H&E)
Image Info
Camera Maker:
Olympus
Camera Model:
DP74
Shutter Speed:
36/7045 sec
Metering Mode:
Multi-Spot
Gallery RSS
|
Archive View
|
Login
|
Powered by
Zenphoto