Table of Contents
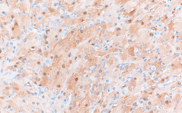
Washington University Experience | NEOPLASM (SELLAR) | TTF-1-positive sellar tumor - Granular cell Tumor | 2B3 Granular Cell Tumor, Sella Region (Case 2) S100 40X 4
There is variation in the S100 intensity of individual cells or cell groups in this specimen (S100 IHC)
