Table of Contents
« prev
next »
Washington University Experience
|
NEOPLASM (SELLAR)
|
TTF-1-positive sellar tumor - Granular cell Tumor
|
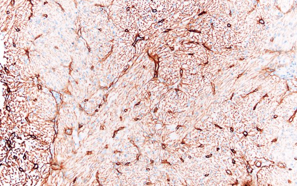
2F2 Granular Cell Tumor, Sella Region (Case 2) Coll IV 20X
Higher magnification image of image #F1 (Collagen IV IHC)
Image Info
Camera Maker:
Olympus
Camera Model:
DP74
Shutter Speed:
5/3937 sec
Metering Mode:
Multi-Spot
Gallery RSS
|
Archive View
|
Login
|
Powered by
Zenphoto