Table of Contents
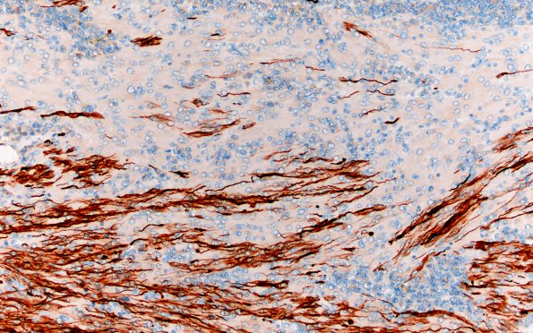
Washington University Experience | NEOPLASM (SELLAR) | TTF-1-positive sellar tumor - Granular cell Tumor | 8D1 TTF1 Granular Cell Tumor (Case 8) GFAP 20X
8D1,2 Many of the processes within the tumor are GFAP immunoreactive, although the tumor cells do not stain. (GFAP IHC)
