Table of Contents
« prev
next »
Washington University Experience
|
NEOPLASM (SELLAR)
|
TTF-1-positive sellar tumor - Granular cell Tumor
|
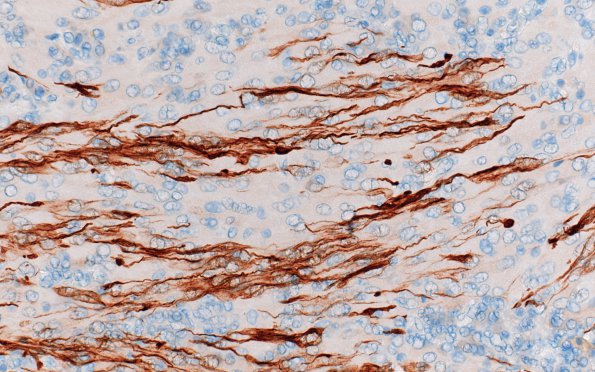
8D2 TTF1 Granular Cell Tumor (Case 8) GFAP 40X
Higher magnification of image #8D1. (TTF-1 IHC)
Image Info
Camera Maker:
Olympus
Camera Model:
DP74
Shutter Speed:
1/250 sec
Metering Mode:
Multi-Spot
Gallery RSS
|
Archive View
|
Login
|
Powered by
Zenphoto