Table of Contents
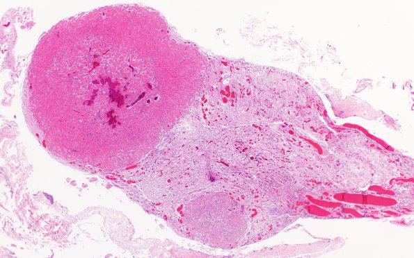
Washington University Experience | NEOPLASM (SELLAR) | TTF-1-positive sellar tumor - Granular cell Tumor | 9A1Granular cell tumorlets, pituitary stalk (Case 9) H&E 2X
Case 9 History ---- The decedent was a 66-year-old woman with a history of hypertension, hyperlipidemia, chronic obstructive pulmonary disorder, and Alzheimer Disease Neuropathologic Change. ---- 9A1 Incidental findings in this case were two granular cell tumorlets of the pituitary infundibulum. Although these tumors, if sufficiently large, may cause symptoms such as headaches and visual deficits, such symptoms in the current case were lacking and highly unlikely that a couple of tiny tumorlets produced any symptoms. (H&E)
