Table of Contents
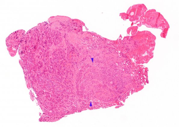
Washington University Experience | NEOPLASM (SELLAR) | Pituitary Adenoma - Pituitary Neuroendocrine Neoplasm | Corticotroph | 16A1 PA, CR (Case 16) H&E 4X copy
Case 16 History ---- [54yo female presenting with Cushing's disease. MRI showed a 0.8 cm post-contrast enhancing mass in the sella.] ---- 16A1 H&E stained sections of the pituitary show this fragment of anterior adenohypophysis which appears rather unremarkable in architecture but, at higher magnification, exhibits Crooke's hyaline change. There is a single focus of tissue that has a nodular appearance (between arrowheads) which represents a microadenoma, as shown in the subsequent studies.
