Table of Contents
Washington University Experience | NEOPLASM (SELLAR) | Pituitary Adenoma - Pituitary Neuroendocrine Neoplasm | Corticotroph | 16A4 PA, CR (Case 16) H&E 2.jpg
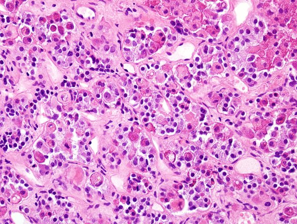
16A4-6 These images of the non-tumorous acini show prominent Crooke’s hyaline change. (H&E)
