Table of Contents
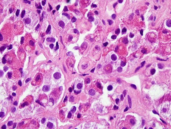
Washington University Experience | NEOPLASM (SELLAR) | Pituitary Adenoma - Pituitary Neuroendocrine Neoplasm | Corticotroph | 16A5 PA, CR (Case 16) H&E 5.jpg
These images of the non-tumorous acini show prominent Crooke’s hyaline change. (H&E)
