Table of Contents
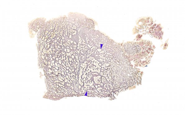
Washington University Experience | NEOPLASM (SELLAR) | Pituitary Adenoma - Pituitary Neuroendocrine Neoplasm | Corticotroph | 16B1 PA, CR (Case 16) Retic 4X copy
16B1,2 The reticulin pattern is subtle as well, although the microadenoma (between arrowheads) has a more disrupted pattern than the non-tumorous gland. (Reticulin)
