Table of Contents
Washington University Experience | NEOPLASM (SELLAR) | Pituitary Adenoma - Pituitary Neuroendocrine Neoplasm | Corticotroph | 1G10 PA (Case 1) EM 20A - Copy
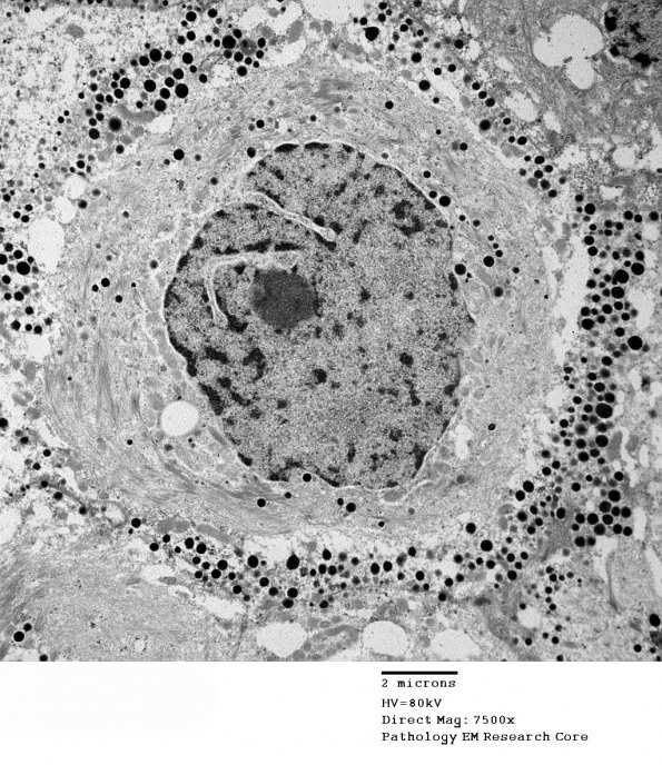
Additional cells involved by Crooke’s change. (electron micrograph) ---- Not shown: ---- The FSH, LH, TSH, prolactin, and growth hormone stains are negative in tumor cells. The Ki-67 stain shows a low proliferative index. ---- Comment: The morphology and immunophenotype are consistent with a corticotroph adenoma with extensive Crooke hyaline change, also known as "Crooke cell adenoma". In a recent series, Crooke cell adenomas were estimated to represent only 0.03% of all pituitary adenomas. Roughly 65% of such tumors are hormonally active, the others are clinically inactive. The clinical behavior is variable, although they are commonly aggressive or grossly invasive.
