Table of Contents
Washington University Experience | NEOPLASM (SELLAR) | Pituitary Adenoma - Pituitary Neuroendocrine Neoplasm | Corticotroph | 3A1 PR CH (Case 3) H&E 6
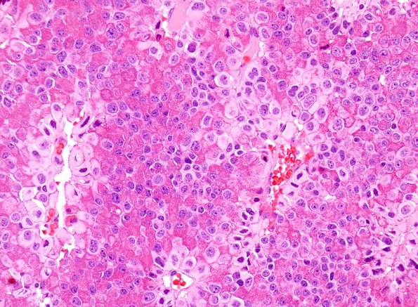
Case 3 History ---- [52yo male with clinical Cushing's disease and MRI showing a suprasellar mass.] ---- 3A1-4 The specimen consists of portions of a pituitary neoplasm composed of round cells with glassy eosinophilic cytoplasm and vesicular nuclei, some containing micronucleoli. A subpopulation of tumor cells shows Crooke’s hyaline change. Mitoses are difficult to find and necrosis is not evident. The neoplasm is reticulin poor.
